On 5 June 2014, Seema Sapra fractured her left fibula in a minor but awkward fall. She was taken to Artemis Hospital in Gurgaon and three doctors on that day confirmed only an un-displaced fibula fracture which did not require surgical intervention. Her left leg was placed in a cast. It was confirmed to Ms Sapra that there was no ankle injury.
On 9 June 2014, Seema Sapra went to Fortis Hospital in Vasant Kunj and was told by Dr Anuj Malhotra that her cast needed to be removed for another X-ray. While removing the cast, Dr Anuj Malhotra suddenly twisted Ms. Sapra's left ankle and deliberately dislocated it. She had another X-Ray and then Dr Anuj Malhotra and Dr Pradip Sharma told her that she needed surgery. Ms Sapra repeated her complaint that Dr Anuj Malhotra had twisted her ankle and damaged it, she refused surgery and left Fortis Hospital wearing an Aircast boot on her left leg.
What the doctors who conspired to harm Ms Seema Sapra did not count on was that she was audio-recording her interaction with them.
The evidence that Dr. Anuj Malhotra deliberately dislocated Ms Sapra's left ankle on 9 June 2014 includes the following:
Records from 5 June 2014
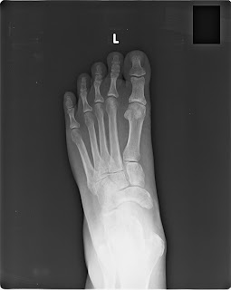
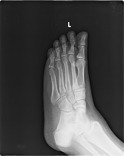
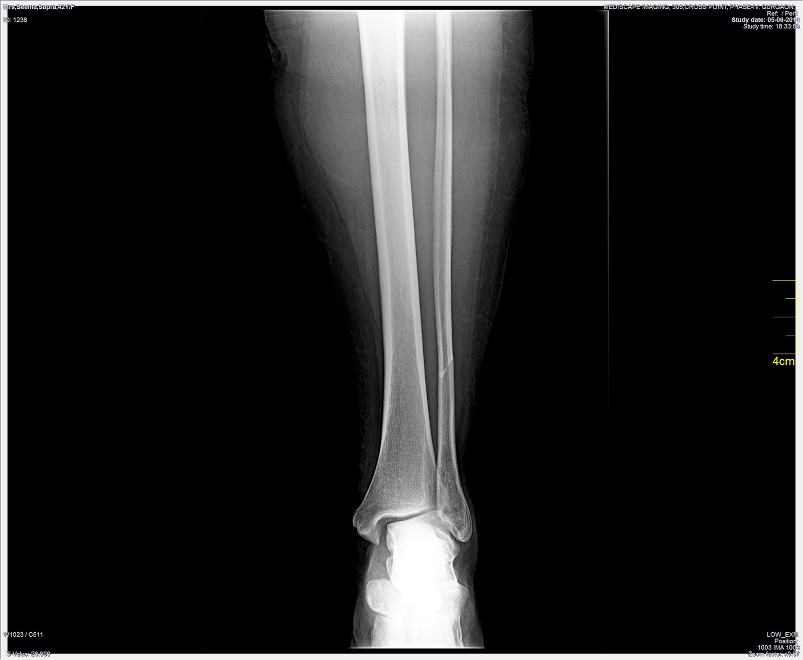
Xrays dated 5 June 2014 taken right after the fracture showing no ankle injury but only a fibula fracture and the opinion of three doctors including a radiologist and 2 orthopedics (Dr Shailza Aggarwal, and Dr Fahad and Dr Sandeep Chauhan) that there was no ankle injury and that the fibula fracture did not require surgery and would heal in a cast.
Ms Sapra has audio recordings of these conversations with the doctors on 5 June 2014.
Records from 9 June 2014 at Fortis Hospital in Vasant Kunj
An audio recording dated 9 June 2014 where Seema Sapra can be heard screaming out in pain at the moment that Dr Anuj Malhotra twisted her ankle and where she can be heard complaining that Dr Anuj Malhotra had caused further damage.
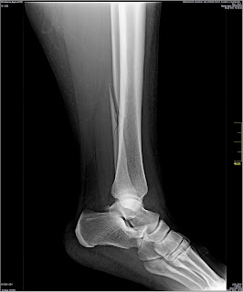
Xrays dated 9 June 2014 taken after the ankle was twisted which show a dislocated ankle.
Audio record of subsequent conversations with Dr Anuj Malhotra and Dr Pradip Sharma at Fortis Hospital where they suppressed the dislocation caused to the ankle but attempted to push Ms. Seema Sapra into surgery.
On 30 July 2014, Seema Sapra went back to Fortis Hospital where Dr Anuj Malhotra again suppressed the dislocated ankle and told Ms Sapra that her fracture was healing well.
On 4 August 2014, Ms Seema Sapra consulted Dr Prateek Gupta at Gangaram Hospital who first disclosed to Ms Sapra that her left ankle was dislocated. By then the swelling had reduced and the abnormal position of the bones at the ankle joint were visible.
An audio recording of the initial medical advice and treatment at Artemis Hospital in Gurgaon on 5 June 2014 where Ms Seema Sapra was told that there was only a fibula fracture which would heal in a cast. (712_3089) listen to this recording at
https://drive.google.com/file/d/0BxHBZ8fQxNoQdDhva2ZLLWdtYWM/view?usp=sharing
An audio recording of Ms Sapra's interaction with doctors including Dr Anuj Malhotra on 9 June 2014 at Fortis Hospital in Vasant Kunj (Fortis Flt. Lt. Rajan Dhall Hospital). At between 24 to 26 minutes into this recording, you can actually hear Ms Sapra scream in pain at the moment when Dr Anuj Malhotra dislocated her ankle. Dr Pradeep Sharma can also be heard on this recording later. (712_3164) listen to this recording at
https://drive.google.com/file/d/0BxHBZ8fQxNoQMHlTNURNdDBpMnM/view?usp=sharing
An audio recording of Ms Sapra's consultation with Dr Anuj Malhotra at Fortis Hospital on 30 July 2014. (712_3362) listen to this recording at
https://drive.google.com/file/d/0BxHBZ8fQxNoQSUloR3cySm5xbzg/view?usp=sharing
An audio recording of Ms Sapra's consultation with Dr Prateek Gupta at Gangaram Hospital on 4 August 2014. (712_3378) listen to this recording at
https://drive.google.com/file/d/0BxHBZ8fQxNoQNFN0T21ubGpiaWM/view?usp=sharing
Xrays taken on 5 June 2014 the date of the fibula fracture
Xrays taken on 30 July 2014 from an external lab which were shown to Dr Anuj Malhotra at Fortis Hospital on 30 July 2014.
Documentary medical records















No comments:
Post a Comment